Ensuring a continuum from basic research to the patient’s bedside

An interview with Mrs Bénédicte SAMYN-PETIT, Inserm North-West Regional Delegate

What are the key figures for the Inserm North-West Delegation, and more specifically in Hauts-de-France?
With 450 permanent and contract staff, the North-West regional delegation covers two regions: Hauts-de-France and Normandy. It has 29 joint research or service units, including 26 UMRs and 3 UMSs, as well as 2 CICs (clinical investigation centres). It has forged close partnerships with the universities of Lille, Amiens, Caen and Rouen. It should also be noted that the Lille metropolitan area alone is home to 16 units, or 70% of the workforce.

What are your main research partnerships in the Hauts-de-France region?
We have strengthened our partnerships with the universities of Lille and Amiens in order to co-construct their site policies. By bringing together the Lille and Amiens university hospitals, we are creating a three-way partnership that will ensure a continuum from fundamental and applied research right through to the patient’s bedside. What’s special about Lille is that the Lille CHU is responsible for overseeing the health units on the Lille site. We have also renewed our cooperation agreement with the University of Lille and the Lille University Hospital in 2024. One of the ways in which we work with the university hospitals is through the Biomedical and Public Health Research Committees (CRBSP/CORS2). In Lille, we meet once a month to discuss the site’s biomedical research strategy. And it’s in the same spirit that we work with the University of Amiens and Amiens University Hospital. We also naturally work with the CNRS, the Inria centre at the University of Lille, the Pasteur Institute in Lille (which oversees certain Inserm units) and the Oscar Lambret Centre, which is part of a national network of cancer centres. Other institutional partnerships involve the Hauts-de-France Region (CPER 2021-2027 in particular) and the MEL. Finally, Inserm units work with private companies (Roquette, Merck), foundations (Alzheimer’s Foundation, Foundation for Medical Research) and patient associations.

© Gregory Hau

What are you doing to support innovation in the Hauts-de-France region?
We are heavily involved in the regional research and innovation ecosystem through a number of initiatives: the L-VoRTEKS University Innovation Cluster, supported by the University of Lille and accredited as part of France 2030; the collaboration agreement between our private subsidiary Inserm Transfert and SATT Nord to support more and more maturation and innovation projects; the detection of innovative projects in our various laboratories (by raising researchers’ awareness of technology transfer, the creation of start-ups, clinical trials and patient benefits); and collaboration with the Eurasanté bio-incubator. Digital health, for example, is booming. Thanks to the rapprochement between Inserm and Inria’s Lille centre, joint project teams are under discussion, as is the identification of a brand for the Lille site, which could target data science applied to medicine… and neuroscience in particular: the SPIKY project from the Lille Neuroscience & Cognition unit has just been selected as part of the PIQ (Inria Quadrant Programme) call for projects. The project, which focuses on in vivo analysis of neuronal activity, promises advances in brain-machine interfaces. At national level, the Inserm – Inria partnership is also reflected in the co-piloting of the Digital Health PEPR.

© Inserm

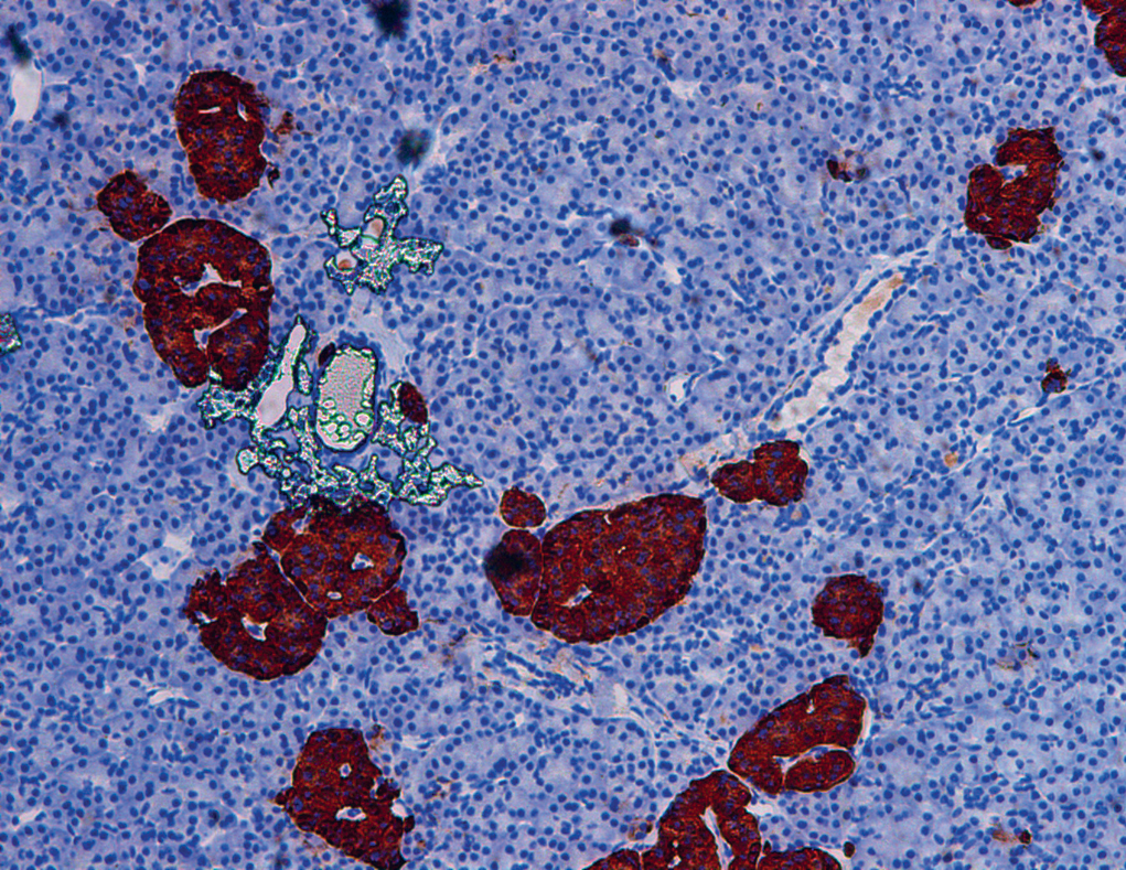
Pancreatic cells called “islets of Langerhans”

How are you working with the Hauts-de-France Region to boost the attractiveness of the region’s healthcare ecosystem?
A cooperation protocol has been signed between the Hauts-de-France Region and Inserm, and I’ve been keen to inject a new dynamic into it since I took office in January 2024. The aim is to strengthen regional health research activities and scientific potential, develop new nuggets, improve socio-economic spin-offs, etc. The site scientific coordinators appointed by Inserm (one for Lille and one for Amiens) are working alongside me to help redefine the scientific areas to be prioritised, and we are working to increase the number of concrete actions, such as welcoming more international researchers, and supporting Junior Professorships (JPCs) – in 2025 we will be welcoming two Inserm JPCs in neurosciences and metabolic and cardiovascular disorders. We are also involved in a number of discussions on the Regional Plan for Higher Education, Research and Innovation (SRESRI) 2022-2028, and are involved in initiatives to popularise science among elected representatives. We’re keen to make them aware of the excellent health research being carried out in their area!

Can you give us an example of innovation in the Hauts-de-France region?
If I have to cite one example, it is the transplantation of pancreatic cells called “islets of Langerhans” into patients with severe type 1 diabetes (work carried out by the Translational Research in Diabetes unit). This procedure is now reimbursed up to 100% by the French Assurance Maladie.


Originally published in ©Parlementaires de France Magazine, now ©Research Innov France.

Share this post